
A great choice to enhance the beauty of your smile is to use composite bonding.
Dental bonding is a procedure for the enhancement of smile cosmetics.
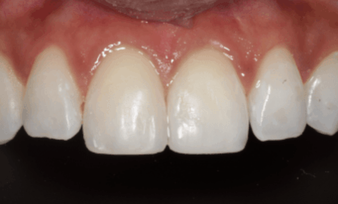
Cosmetic bonding is a simple procedure that allows the tooth coloured resin material to bond to the original tooth, usually without any marked need to prepare/shape the tooth. It can be carried out either for the transformation of one tooth or the entire smile.
It is referred to as a “one-hour smile makeover” for the correction of all the imperfections within your teeth and to give you an attractive smile.
Preparation: For bonding teeth, minimal preparation is required for the procedure. Anaesthesia is usually not needed unless the decayed tooth needs to be drilled to change shape or if the chip is in proximity to a nerve.
Then our dentist will choose the composite resin colour that will be similar to your original tooth shade with the help of a shade guide.
The Bonding Process: Our dentist will slightly roughen the surface of the tooth to be bonded, followed by the application of a conditioning liquid, facilitating the adherence of bonding material to the tooth.
The chosen resin is then applied, moulded, and smoothed according to the desired or expected shape.
UV light or a laser is then used to harden the material.
After it gets hardened, our dentist will give it the final touch by trimming and polishing to match the lustre of other teeth.
Time Required For The Procedure: An average bonding procedure takes 30-60 minutes. It may vary depending on the number of teeth or gaps to be bonded.
Online Booking
Commonly used bonding agents are methacrylates such as a bisphenol A-glycidyl methacrylate (BISGMA), urethane dimethacrylate (UDMA) or semicrystalline polyceram (PEX), and an inorganic filler such as silicon dioxide (silica), some volatile carrier and a solvent like acetone.
They may also consist of some diluent monomers.
The conditioning of dentin is done with polyacrylic acids, phosphoric acid, nitric acid, maleic acid, citric acid, and ethylene diamine tetra-acetic acid (EDTA) to remove the smear layer.
The Chemical Process Of Bonding:
No special attention, as such, is required for the bonded teeth. However, there are a few points you should keep in mind.
The use of cosmetic teeth bonding, along with teeth whitening, can be an excellent remedy for the staining of teeth and fillings.
The rationale behind the combination of cosmetic dental bonding with whitening is to provide you with whiter and brighter teeth.
The shade of bonding resin will be chosen as per your teeth colour, so getting a pre-teeth whitening will be beneficial in the long run because once the composite bond is fixed, it cannot be whitened further by any method.
Online Booking
The two most common options for dental cosmetic bonding are-
After knowing the trivial details of what cosmetic bonding is, if you wish that your teeth look better than before and are planning a cosmetic dentistry bonding, and looking for ‘dental bonding’, then Conway House is where your search ends.
As dentists, we firmly believe that prevention is always better than cure and will motivate, encourage and assist you in taking adequate care of your teeth so you don’t develop any dental problem in the first place. If you do have decay or any dental abnormality, we are there to resolve it all for you.
Catering to the needs of our patients is our priority, and we at Conway House Dental Practice will provide you with the best and unique solutions for all your dental problems.
Ultimately, you’ll have healthy and happy teeth with us. Do pay a visit for any dental procedure and allow us to serve you.
A question that may frequently pop up in your mind is: How long does dental bonding last?
The sustainability of a bonded tooth will depend on a myriad of factors, such as the amount of bonding done and the oral hygiene habits of the patient.
A typical good quality bonded tooth lasts for up to 3-10 years.
You may need to get your teeth polished once a year, as the bonding material stains more readily than natural teeth.
Just as promised, Conway House will offer you the most affordable services; dental bonding starts from £80 per tooth.
Dental bonding is one of the most affordable and low-cost procedures available for a smile makeover.
The cost of dental bonding will depend on the amount of bonding and the number of places where bonding is required.