Contact Us

What is a Composite Filling?

A composite filling is a tooth-colored dental filling made from a blend of resin and fine glass particles. It is used to repair cavities, cracks, or small fractures in teeth while maintaining a natural appearance. Composite fillings are bonded directly to the tooth, providing aesthetic and functional benefits by blending seamlessly with your natural enamel.

Composite vs. Amalgam Fillings: What’s the Difference?

  • Appearance – Composite fillings match the colour of your natural teeth, making them virtually invisible, while amalgam fillings (silver fillings) are dark and noticeable.
  • Material – Composite fillings are made from resin and glass particles, while amalgam is a mixture of metals, including mercury, silver, tin, and copper.
  • Bonding Strength – Composite fillings bond directly to the tooth, preserving more natural structure, whereas amalgam requires more removal of tooth structure to hold the filling in place.
  • Durability – Amalgam fillings are longer-lasting, especially in back teeth that endure heavy chewing forces. However, modern composite materials are highly durable and continue to improve.
  • Tooth Sensitivity – Composite fillings expand and contract less with temperature changes, reducing the risk of cracks compared to amalgam.

At Conway House Dental, we use high-quality composite resin fillings for a natural, strong, and minimally invasive solution to cavities and tooth damage. Contact us today to discuss your best option!

Back to General Dentistry Online Booking
down blue white circle arrow down white blue circle arrow

Contact

Get in touch

TREATMENT

White Fillings with Biomimetic Composite Resin

At Conway House Dental, we use biomimetic dentistry and high-quality composite resin materials to create white fillings that look and function just like natural teeth. Biomimetic dentistry focuses on preserving as much of your natural tooth as possible while restoring strength and durability. Unlike traditional metal fillings, composite resin fillings are tooth-colored, bond directly to the tooth, and blend seamlessly with your smile.

They also provide a strong, long-lasting solution that mimics the natural flexibility and resilience of tooth enamel. Whether you need a new filling or want to replace old metal fillings, white composite fillings offer a healthier, more aesthetic option.

Book a consultation today to restore your smile with natural-looking, biomimetic fillings!

Online Booking
Conway House Dental
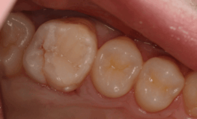
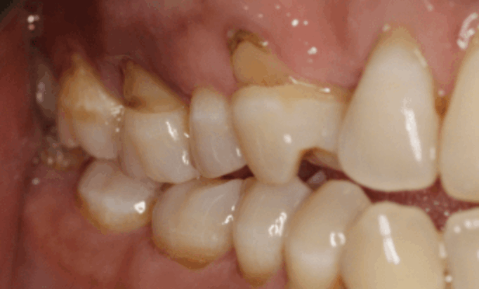
Before - Conway House Dental Before
After -Conway House Dental After

Dental Fillings

Before - Conway House Dental Before
After -Conway House Dental After

White Fillings

Before - Conway House Dental Before
After -Conway House Dental After

Dental Fillings

Google Rating
5.0
Google Rating
Google-review