Contact Us
down blue white circle arrow down white blue circle arrow
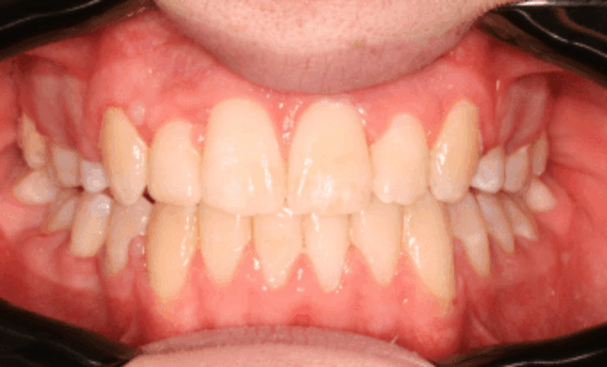
Before - Conway House Dental Before
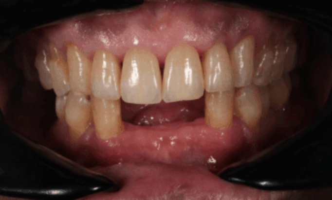
After -Conway House Dental After

Dental Implants

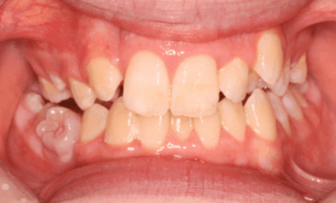
Before - Conway House Dental Before
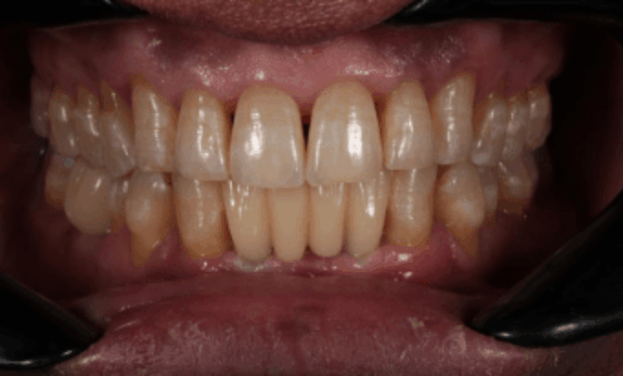
After -Conway House Dental After

Invisalign®

Before - Conway House Dental Before
After -Conway House Dental After

Dental Fillings

Before - Conway House Dental Before
After -Conway House Dental After

Composite Bonding

Before - Conway House Dental Before
After -Conway House Dental After

White Fillings

Before - Conway House Dental Before
After -Conway House Dental After

Dental Fillings

Before - Conway House Dental Before
After -Conway House Dental After

Invisalign®

Before - Conway House Dental Before
After -Conway House Dental After

Teeth Whitening

Before - Conway House Dental Before
After -Conway House Dental After

Composite Bonding

Contact

Get in touch

Google Rating
5.0
Google Rating
Google-review