Contact Us
down blue white circle arrow down white blue circle arrow

29 July 2022

What is cosmetic filler, and how long does it last?

Botulinum toxin, popularly known as a cosmetic filler, is an exogenous neurotoxin that functions by altering neurological mechanisms. It is widely used for medical as well as cosmetic…

Explore

29 July 2022

Can you put veneers on bad teeth?

Can Veneers Work On Crooked Teeth? Dental veneers can work wonders when it comes to treating minor anomalies of teeth like stained teeth, discoloured teeth, broken teeth, chipped…

Explore

29 July 2022

Get to know the difference between silver fillings vs. white fillings

Tooth decay is an inadvertent event that occurs commonly in people of all age groups. Your lifestyle, eating habits, hygiene routine, and everything have a significant impact on…

Explore

29 July 2022

What happens if you leave a broken tooth untreated?

The outermost coating of our teeth is made of enamel, the hardest substance in the human body. Despite this, a broken tooth is not an uncommon phenomenon. You may…

Explore

29 July 2022

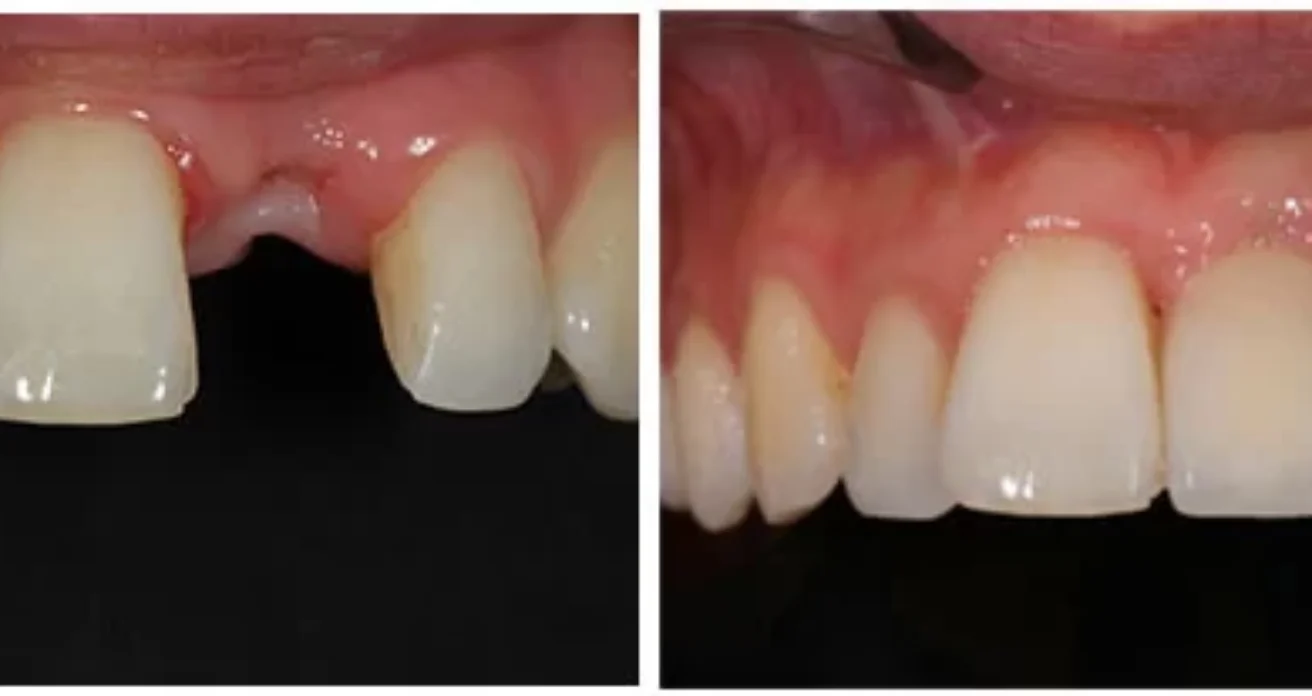
Best option for tooth replacement for missing teeth

Are you struggling with gaps in your dentition created due to lost, broken, or extracted teeth? Well, there can be a plethora of genetic as well as acquired…

Explore

29 July 2022

Comparison between different braces. Which are the best?

Crooked teeth or misaligned teeth can be seen commonly in children as well as in adults. There can be congenital and acquired causes of crooked teeth. Not only…

Explore

Contact

Get in touch

Google Rating
5.0
Google Rating
Google-review